Before & After

Dream Smile

Before & After

Dream Smile

Before After

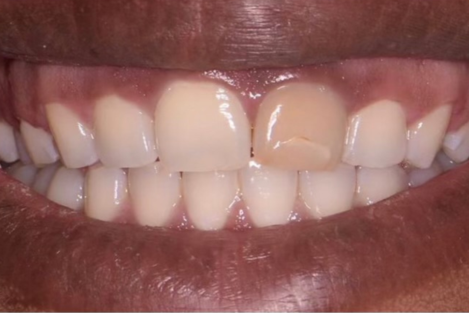
We absolutely love seeing our patients’ smiles transform – it’s amazing to see how much of an impact a couple of veneers can make!

Check out the before and after results from one of our patients. We love to help our patients achieve their dream smiles!

It’s amazing to see how much of an impact a couple of veneers can make!

  • Share: