Before & After

Game-Changing Results

Before & After

Game Changer

Before After

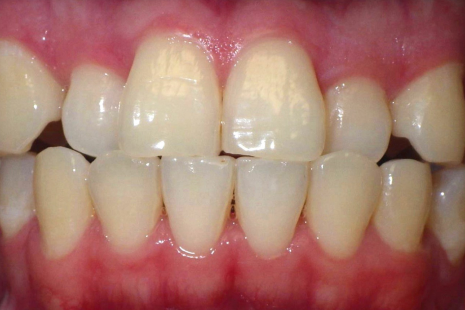
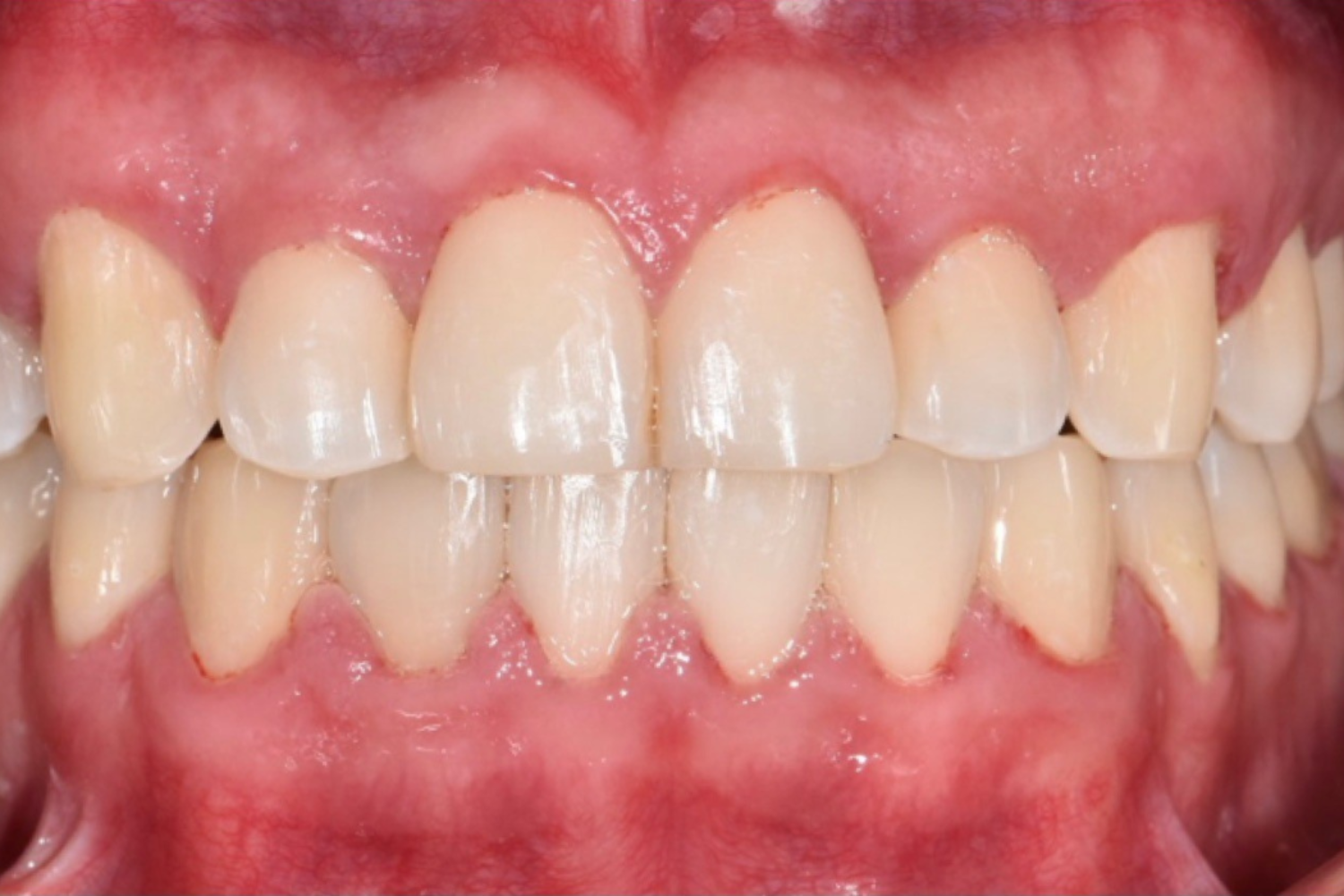
Many patients are often self-conscious about their teeth – they could be chipped, discolored, or uneven. But after their veneers, their teeth look straight and picture-perfect + they have the added bonus of increased confidence!⁠

Veneers are a great way to spruce up your smile without the need for invasive treatments. If you’re looking for a quick and easy way to have a perfect smile, we recommend giving veneers a try.

Veneers are a game-changer for your smile!

  • Share: